Periodontics (Gum And Bone Care)

Smile Hub Dental & Maxillofacial Center

What is Periodontal Disease?

Periodontal disease, also known as gum disease, is a bacterial infection of the gums and tissues that support your teeth. It is caused most often by the build-up of plaque and tartar when teeth are not routinely brushed and flossed. Periodontal disease is a major cause of teeth/implant loss.

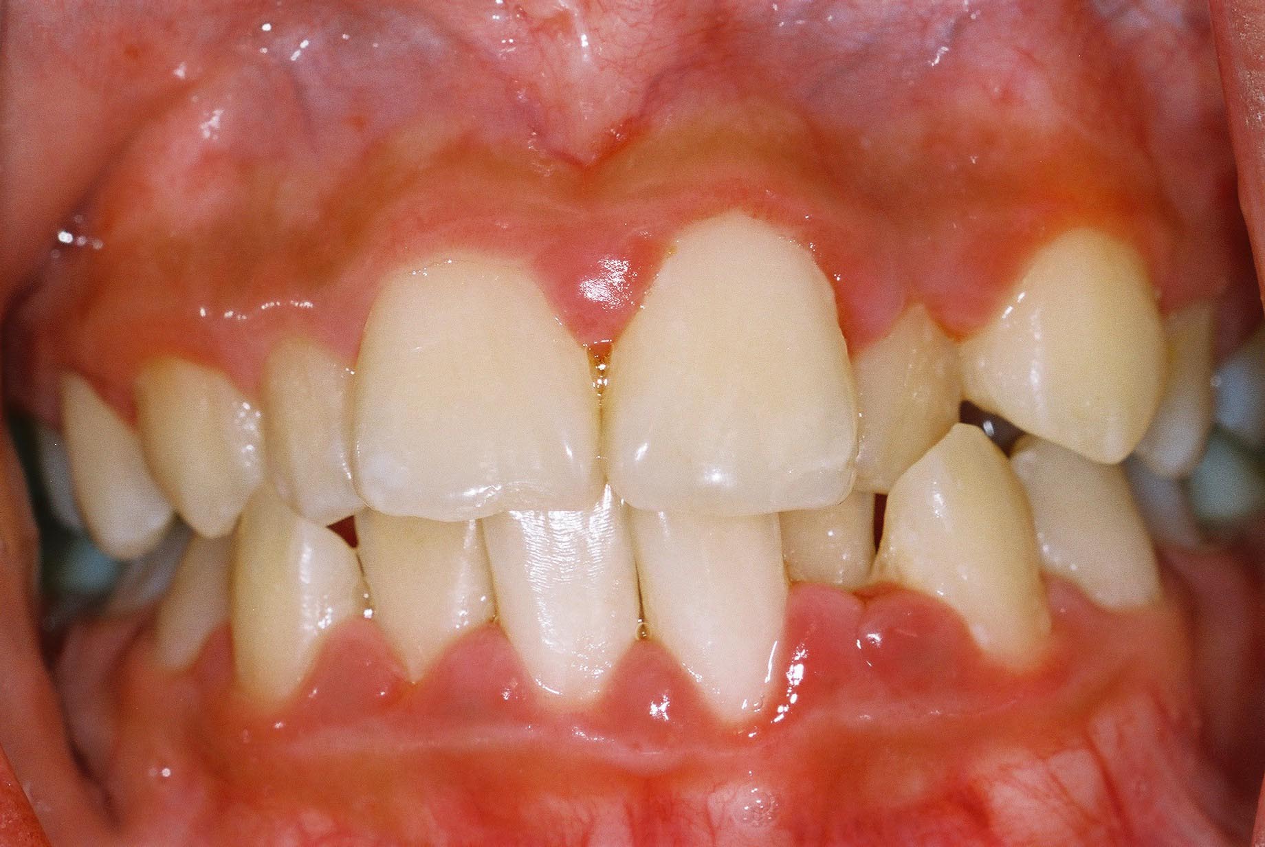
There are two major stages of periodontal disease: gingivitis and periodontitis. The earlier stage, gingivitis, is a mild form of gum disease caused by plaque build-up around the gum line which causes inflammation of the gums. If you neglect to brush or floss your teeth daily, this plaque build-up will trap bacteria and cause gum disease. Your gums will appear red and swollen, and you could experience bleeding when you brush or floss. If properly treated, it may be reversed.

Left untreated, gingivitis turns into periodontitis. During this more destructive disease stage, the supporting bones and fibres that hold your teeth in place have been irreversibly damaged, as bacteria penetrate the deeper pockets of tissue.

Immediate treatment is necessary to prevent further damage and tooth loss.Gum disease usually progresses slowly and painlessly, meaning it can take years for sufferers to realise there is a problem – but it is easier to treat when it’s caught early.

What are some risk factors?

You may be at risk for gum disease if any of the following apply to you:

  •    Tobacco and alcohol use
  •    Systematic diseases (such as diabetes, heart disease, osteoporosis, cancer)
  •    Genetics
  •    Pregnancy
  •    Stress

In addition, the following types of prescription drugs may also increase the risk of gum disease. Talk with your dentist if you are taking:

  •    Steroids
  •    Cancer therapy drugs
  •    Oral contraceptives
  •    An anti-epilepsy drug
  •    A calcium channel blocker

Symptoms of periodontal disease

Gum disease is considered a “silent” disease because pain does not always accompany warning signs. See your dentist if you experience:

  •    Red, swollen or tender gums
  •    Bleeding gums when you brush your teeth
  •    Loose teeth
  •    Persistent bad breath
  •    A bad taste in your mouth
  •    Gum abscesses
  •    Receding gums

Dental Specialists is a leading dental practice for periodontal treatment. Get in touch with us if you are worried about any of these symptoms.

Smile Hub Dental & Maxillofacial Center

Periodontal Disease Treatment

Periodontal treatment methods depend upon the type and severity of the disease. Our specialist team will evaluate for periodontal disease and recommend the appropriate treatment.

How your periodontist treats your gum disease is largely dependent upon the stage of your infection and the amount of deterioration involving your gums, teeth, supporting tissues and bone.

After reviewing your Digital Radiographs and performing a thorough periodontal exam, your periodontist will discuss your treatment options, answer questions, and explain what happens:

  •    During and after the procedure(s)
  •    Possible complications, risks, benefits and costs of treatment
  •    The number of office visits required for treatment
  •    What to do post-treatment as your gums heal
  •    How to keep gum disease under control after treatment is complete (maintenance programme)

After your treatment has ended, thorough maintenance is essential for the long-term success of your treatment and to maintain your oral health.