Full mouth rehabilitation

Full Mouth Rehabilitation

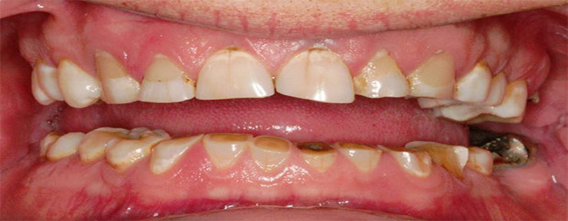
Very often with age teeth lose their height due to wear and tear. This reduces the ability to chew food .In old age such patients often complain of pain in their joints. Due to reduced tooth height the jaw closes more than normal causing the joint to close in an abnormal ultimate aim is to achieve a pleasing composition in your smile.

A smile that blends naturally with your body while creating a magical aura around you that can only be conceptualized by the finest of artistic minds.


SYMPTOMS for a full mouth rehabilitation

Have your teeth become flat?

Are you having difficulty in chewing food?

Are you having jaw joint problems?


Benefits of full mouth rehabilitation @ Smile Hub

We recommend full mouth rehabilitation to our elder patients to improve their chewing efficiency,improve their smile, reduce joint pain and thus improve their overall health and confidence.